版纳植物园解析石斛种子萌发的发育模式
兰科种子通常被认为是未分化的胚性结构,无胚乳,自然条件下种子的萌发必须依赖真菌。兰科种子萌发过程缓慢,在幼苗形成之前首先要经历原球茎(protocorm)的发育阶段。原球茎是兰科植物特有的发育阶段,是幼苗建成及构建菌根共生关系的关键时期,决定了种子能否顺利发育形成幼苗。研究原球茎的发育特点及功能对理解兰科植物与真菌的相互关系具有重要意义。由于原球茎微小,内部形态结构很少有人去深入研究,关于原球茎的属性及结构一直存在较大争议。
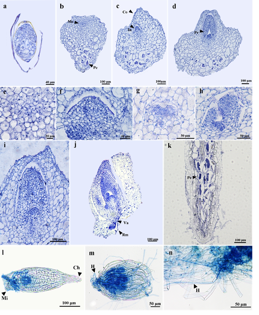
中国科学院西双版纳热带植物园(以下简称“版纳植物园”)与普洱学院研究人员以具有重要观赏和药用价值的鼓槌石斛(Dendrobium chrysotoxum)与胶膜菌GC-15(Tulasnella sp.)构建了共生萌发体系,通过形态解剖学手段详细研究了兰科植物种子共生萌发的发育模式。根据形态和解剖结构特征,鼓槌石斛种子的萌发过程可划分为6个阶段(图1)。原球茎形成发生在第2阶段;原球茎在第3阶段进行了明显的组织分化,顶部的胚性细胞发育形成子叶,中上部的中心位置分化出了茎顶端分生组织(SAM)(图1)。胶膜菌菌丝在种子开始吸水膨胀的第1阶段就通过种孔侵入种胚,后期则通过假根进入,在原球茎中下部特定的薄壁细胞中增殖,但菌丝最终会被原球茎消解,作为多糖营养物质供给原球茎发育(图2)。鼓槌石斛种子萌发过程的形态学研究表明种子的成熟种胚已经规划好发育“蓝图”(图3),种胚极性分化形成两个功能区,分别发育形成子叶和茎顶端分生组织以及共生真菌定殖区,分别行使光合作用、幼苗营养体建成、供给营养的功能。看似结构简单的种胚通过借助共生真菌这一“合作伙伴”完成了复杂的发育过程,获得了子叶、茎顶端分生组织、假根以及菌根等组织器官,形成“原球茎”这一功能体,从而开启了兰科植物幼苗的生命旅程。
相关研究成果以“Morphogenesis Changes in Protocorm Development during Symbiotic Seed Germination ofDendrobium chrysotoxum (Orchidaceae) with Its Mycobiont,Tulasnella sp.”为题发表在国际学术期刊Horticulturae上,版纳植物园硕士研究生高鑫祯为该论文第一作者,植物多样性与保护研究组罗艳研究员和快速进化与保护组邵士成副研究员为论文共同通讯作者。
该研究得到了国家自然科学基金、中科院西部之光、东南亚生物多样性研究中心等项目支持,在此一并致谢。诚挚感谢版纳植物园公共技术中心在实验方面提供的帮助。

图1 光镜下鼓槌石斛种子萌发不同发育时期的解剖结构

图2 扫描电镜下鼓槌石斛种子萌发不同发育时期及原球茎中的菌丝团

图3. 鼓槌石斛种子与胶膜菌共生萌发发育模式图
